Lompat ke konten Lompat ke sidebar Lompat ke footer

28+ Refractory Anemia With Ringed Sideroblasts Images

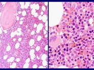
28+ Refractory Anemia With Ringed Sideroblasts Images. Refractory anaemia with ring sideroblasts. Refractory anemia with ringed sideroblasts is a version of myelodysplastic syndrome (mds) which is characterized by anemia and the presence of >/= to 15% ring sideroblasts in the marrow.

What does RA/RS mean? - Definition of RA/RS - RA/RS stands ...
What does RA/RS mean? - Definition of RA/RS - RA/RS stands ... from acronymsandslang.com
Sideroblastic anemia is an extremely rare disorder in children. Mds, which is uncommon in the pediatric population, is most often. Anemia is a decrease in the total amount of red blood cells (rbcs) or hemoglobin in the blood, or a lowered ability of the blood to carry oxygen.

Sideroblastic anemia is an extremely rare disorder in children.

Generally, the patient presents with normochromic, normocytic anemia with overall erythroid hyperplasia.1 2. Anemia is a decrease in the total amount of red blood cells (rbcs) or hemoglobin in the blood, or a lowered ability of the blood to carry oxygen. Sideroblastic anemia can be acquired or congenital. Ring sideroblasts (rs) are erythroid precursors with abnormal perinuclear mitochondrial iron accumulation.

Posting Komentar untuk "28+ Refractory Anemia With Ringed Sideroblasts Images"